티스토리 뷰
목차
반응형
요즘 SNS 켰다 하면 나오는 광고
'덴티오클린'
구강유산균인데 꾸준히 섭취하면 잇몸이 올라올 수 있다고 해서 구매해 봤다.

12달치를 구매했다.
최소 3~6개월 이상 섭취해야 큰 효과를 본다고 했는데
지금 나의 잇몸 상태가 많이 안 좋아서 6개월 이상 먹을 생각으로 대량 구매했다.
많이 살수록 할인율이 높아지기도 하고..

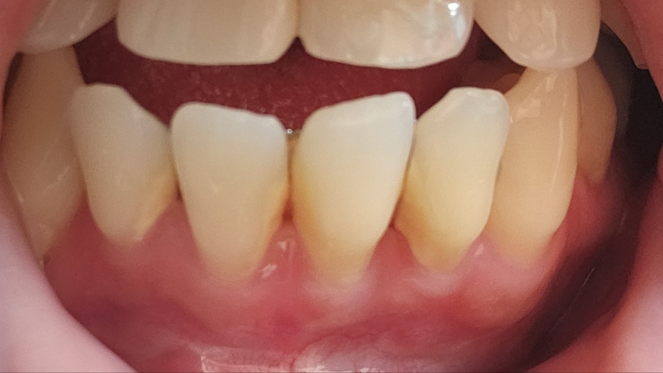
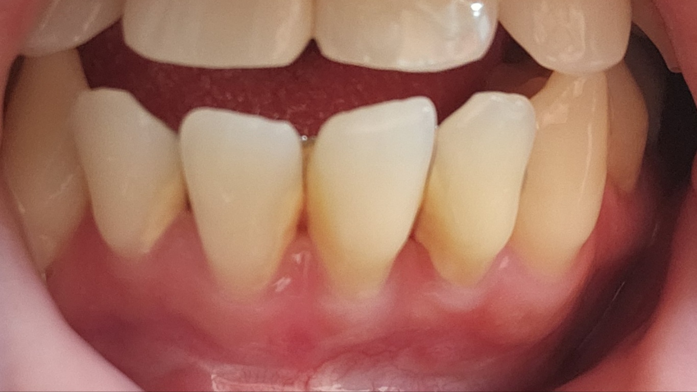
잇몸이 많이 내려가있는 상태이고
진짜로 잇몸이 올라올까 하고 반신반의하며 샀는데 제발 효과가 있었으면 좋겠다..


매일 하루에 한포씩 먹으며 중간중간에 잇몸상태를 체크하고 블로그로 작성할 계획이다.

원재료 외 정보

분말형이어서 뜯고 입안으로 털어서 먹으면 된다.
지금 보름정도 먹고 있는데
맛은 어린아이도 거부감 없이 먹을 수 있는 달달한 맛이다.
앞으로도 간간히 작성해 올리겠다.
※내돈내산 ※
덴티오클린 - 덴티오스
[특허받은 구강유산균, 덴티오클린] 덴티오클린은 하루 한 포로 건강한 구강환경을 만들어주는 특허 구강유산균입니다. ✓ 국내 최초 분말형 구강유산균 ✓ 특허 3종 구강유산균 ✓ 구강유산균
dentios.co.kr
반응형
'잡학다식' 카테고리의 다른 글
| AI로 지브리 스타일 그림 그리는 방법 (챗GPT 활용 꿀팁) (2) | 2025.04.03 |
|---|---|
| 봄 시즌 비염 알레르기 질환 예방하는 방법 어떻게? (0) | 2025.03.19 |
| 카카오톡 나의 생일 안보이게 하는 방법 [안드로이드] (3) | 2024.12.18 |
| 숏폼에 중독 된 뇌, 해결 방법은? (4) | 2024.10.04 |
| 2025년 추석연휴 올해보다 더 힘들어진다 (0) | 2024.09.22 |